Dental Crowns
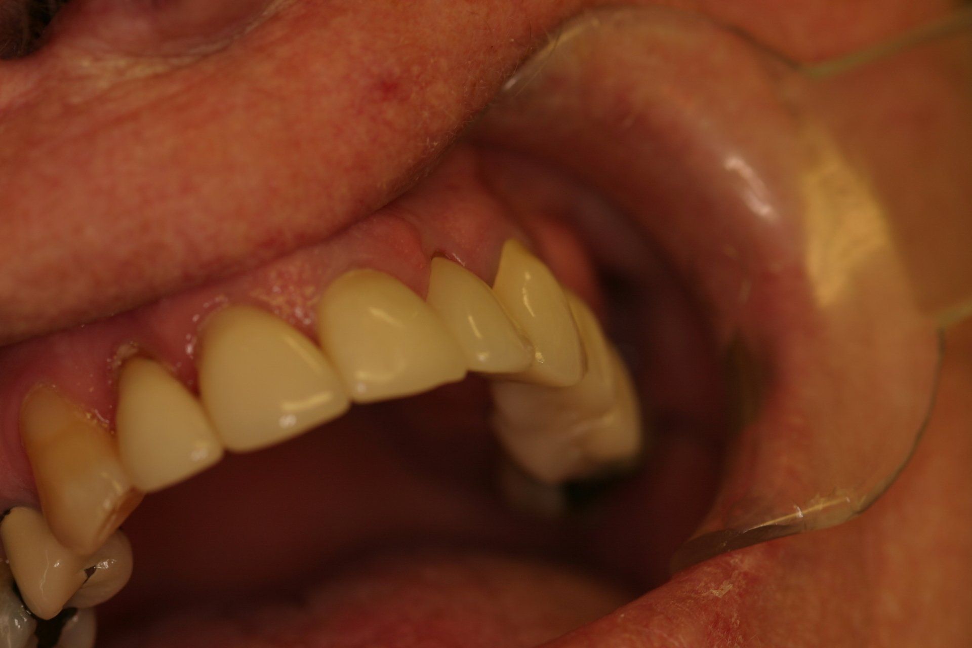
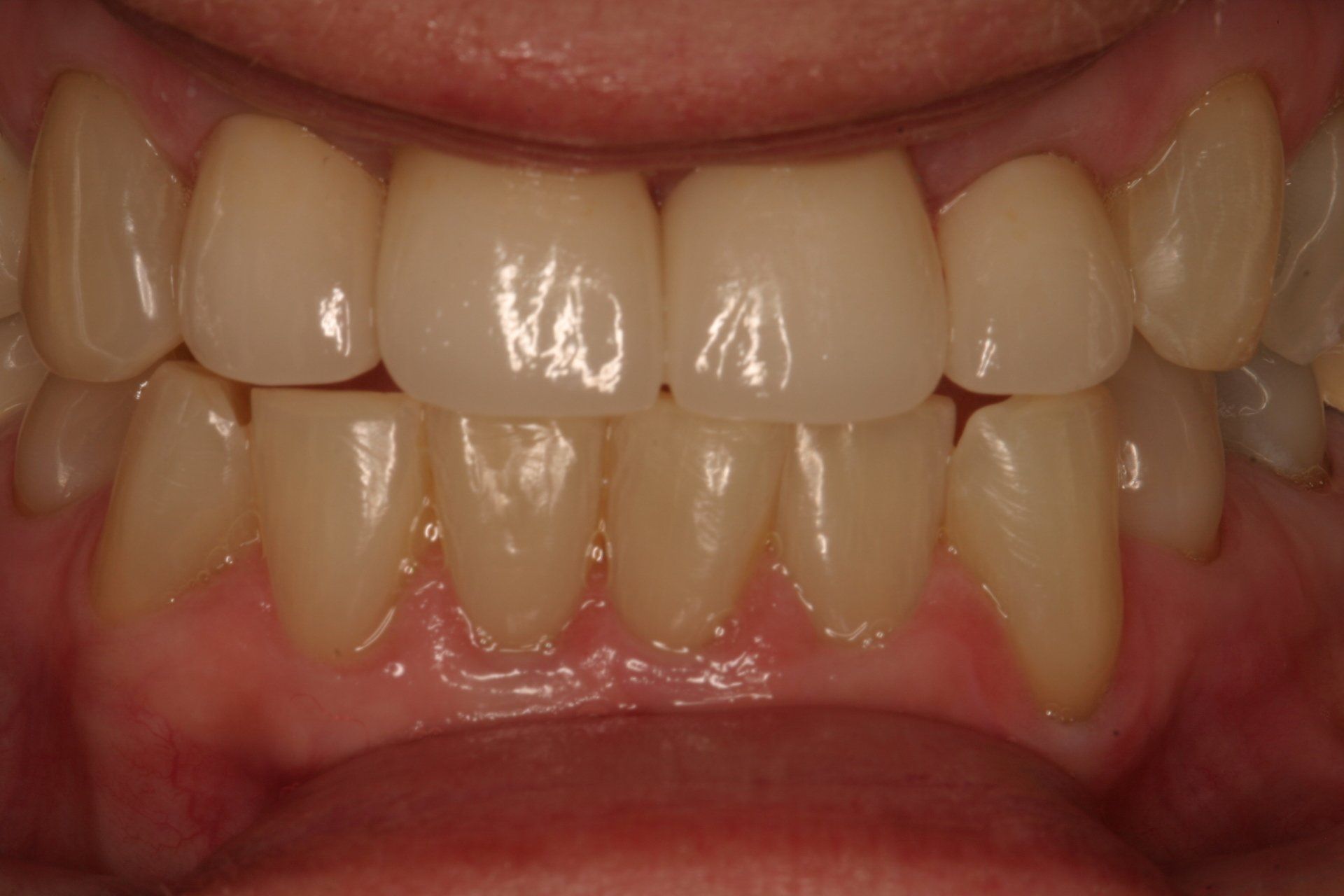
A Crown is like a covering on the tooth surface. Where damage to a person's teeth is extreme and apparently beyond repair, we can use porcelain or porcelain "pasted-on gold" crowns to make the smile appear "as new". This is an extremely reliable technique for repairing the most severe dental problems, even permanently replacing missing teeth to offer a complete smile and a functional bite. We are renowned for the quality of our work and the fantastic changes we make for people using this technology. These treatments are used for a long-lasting correction of major dental problems. It is usual for these treatments to last for 10-12 years, which is as close to permanent as dental treatment can get.
Drop us a line and we’ll get back to you!
Overview of Dental Crowns
Crown and bridgework is a very reliable solution for major dental problems caused through accidents, diseases, or wear and tear. Major problems can usually be corrected using these techniques. Materials used in these repairs are either high-grade porcelain or porcelain bonded to gold. The higher strength of the porcelain and gold materials is recommended to treat the most serious of dental problems. Where accidental damage has occurred resulting in lost teeth, or teeth have broken away through excessive wear, or as the result of old fillings breaking, crowns and/or bridges can be used as a long-term solution.Many people have unexplained pain from filled back teeth that is usually due to hairline cracks in the chewing part of the tooth. Placing crowns on these teeth relieves the pain and allows a return of full dental function for these teeth. In front teeth, older fillings can both weaken the teeth and cause appearance problems due to staining or chipping. Porcelain crowns and bridges are suitable in cases where porcelain veneers are not. In teeth with root canal fillings, crowns can prevent breakage of the teeth.
Benefits of Dental Crowns - Replaces missing teeth
- Offers support to misshapen teeth or badly broken teeth
- Looks completely natural
- Fixes "smile" and functional chewing problems.
- Replaces missing teeth
- Offers support to misshapen teeth or badly broken teeth
- Looks completely natural
- Fixes "smile" and functional chewing problems.




